欢迎来到口讯网! 请登录

瓷贴面修复前牙间隙——微创理念的改变

来源:口腔网时间:2016-01-30 00:00:00访问量:1005次收藏

口讯网 > 口腔文章 > 口腔修复 > 正文

瓷贴面修复前牙间隙——微创理念的改变




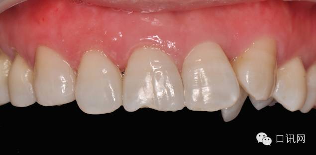
患者女,42岁

主诉:患者自觉前牙牙缝影响美观,且“漏财”

检查:11、12、13近中,23远中约1mm散在牙间隙,23、22异位,牙周尚可,无松动牙及龋坏,少量色素附着,深覆合约I°,覆盖正常

诊断:11、12、13、23、散在牙间隙

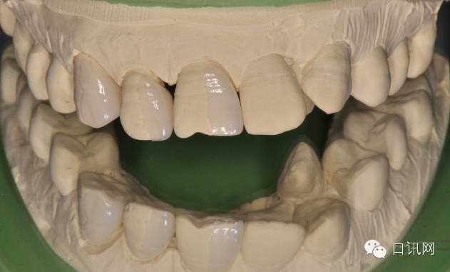
治疗计划:在仔细检查了患者前伸合和侧方合关系后,建议超薄烤瓷贴面修复散在牙间隙,制作诊断蜡型,前后对比效果利于患者提前知晓预后,但患者暂不考虑修复23远中缝隙

治疗步骤:

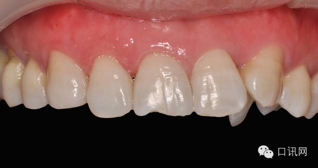
1.术前清洁牙面,喷砂处理掉牙面色素,比色拍照

2.排龈,粗打磨牙釉质面,DMG硅胶二次印模,送工作制作

3.戴贴面:清洁牙面后排龈试戴,确定就位良好后,氢氟酸酸蚀贴面,冲洗后(95%酒精)震荡,涂布硅化剂,酸蚀牙面(注意保护邻牙),吹干隔湿,涂布粘接剂,粘接,去除多余粘接剂,打磨抛光按照科学发展理念与时俱进,适应时代需要,

4.术后拍照

总结,本可以通过正畸治疗也许可以更好的改善患者的美观和合关系,但从病人的角度去考量,时间是最大的问题,真正的微创是患者所需要的同时我们可以做到的,致力于高精专!

/>

/>

/>

/>

/>

/>

/>

/>

/>

/>

/>

/>

/>

/>


建立信用评价和服务能力评审制度,有 利于加强对社会办医的管理,引导规范行医,提高管理水平
分享收藏
上一篇:现代口腔标准根管治疗流程下一篇:关于窝沟封闭
以上文章内容来自互联网,版权归作者所有,文章观点不代表口讯网的观点和立场
发布、删除 联系客服QQ:1175729091