欢迎来到口讯网! 请登录

前牙二氧化锆全瓷冠修复

来源:口腔网时间:2016-02-09 00:00:00访问量:1102次收藏

口讯网 > 口腔文章 > 口腔修复 > 正文

前牙二氧化锆全瓷冠修复


主诉:重新修复上前牙口腔修复医生,口腔种植医生,



现病史:患者上前牙8年前曾在外院烤瓷冠修复 牙龈肿胀近日加剧来我院就诊口腔种植,口腔正畸医生



既往史:有修复史,否认全身系统性疾病及药物过敏史熟悉掌握方丝工矫正技术,



查:11,12,13,21,22,23为烤瓷联冠修复体,冠边缘不密合,冠边缘位于龈下 2mm,牙冠边缘发黑,牙龈红肿,叩诊(士),无松动熟练掌握口腔内科治疗,21唇侧有瘘管,轻压有溢出物中华人民共和国执业医师法



X片显示:11,12,13,21,22,23根充物欠填4-5mm口腔临床执业医师12根尖阴影大 约3.3*5.5mm口腔医学技术11,13,21,22根尖有阴影口腔修复工艺



治疗计划:11,12,13,21,22,23拆冠后重新根管治疗 需要时行冠延长术 观察 无症状则 重新冠修复综合治疗椅,牙片机,洁牙机



处理:11,12,13,21,22,23拆除原烤瓷冠,重新根管治疗,瘘管愈合后,纤维状修复,水激光切除牙龈,牙体预备,临时冠修复,硅橡胶取模,氧化锆烤瓷修复执业助理医师,待遇优厚,底薪加提成



/>



术前全景片



/>



术前根尖片



/>



术后根尖片



/>



原金属烤瓷冠



/>



原金属烤瓷牙咬颌观



/>



术前比色



/>



根管预备



/>



PD纤维桩树脂修复



/>



水激光切除牙龈



/>



临时冠修复



/>



水激光切除牙龈恢复一周后



/>



牙体预备,精修,抛光按照科学发展理念与时俱进,适应时代需要,



/>



硅橡胶取印模



/>



模型修复体制作完成



/>



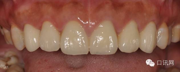
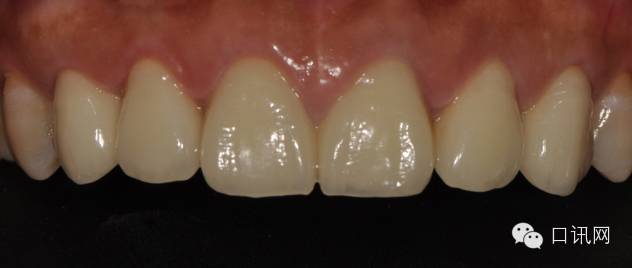
修复体完成后正面观



/>



患者发F音以及下嘴唇干湿线的位置



/>



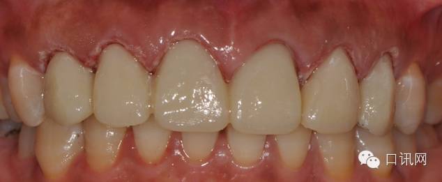
修复体完成口内照片



/>



/>



建立信用评价和服务能力评审制度,有 利于加强对社会办医的管理,引导规范行医,提高管理水平
分享收藏
上一篇:关于窝沟封闭下一篇:戴牙不就位支点到底在哪?
以上文章内容来自互联网,版权归作者所有,文章观点不代表口讯网的观点和立场
发布、删除 联系客服QQ:1175729091